티스토리 뷰
목차
이 글은 이전 네이버블로그에서
티스토리 블로그로 옮겨온 글이라
과거형 글입니다
2022년 1월-2월 동안은
입덧도 하나 없이
편히 푹 쉬었었던 것 같아요
입덧이 없어도 임신초기에는
무조건 안정을 취하는게 좋으니까요
임신초기는 태아의 발달과 건강에 매우 중요해요
초기에 태아는 주요 장기가 형성되는 시기이기에
충분한 영양 공급과 적절한 환경,
산모의 휴식이 뒷받침해줘야합니다
그리고 이 시기에 기관 형성 단계로서
외부요인에 매우 민감해요
유해물질, 감염병, 약물 등이 태아의 기관 형성을
방해하거나 손상시킬 수 있어요
또한 임신합병증이 초기에 많이 발생하기
때문에 미리 감지하고 예방하는게 좋습니다

앱은 베이비빌리 앱을 사용했어요
주수별로 알람이 와서 출산까지
편하게 사용했던 앱이에요
드디어 임신 9주차 진입
입덧도 없어서 아무증세도 없고
임신한 게 맞나 싶은 느낌
저는 배도 18주 차부터 서서히
나오기 시작해서 이때는 더더욱
임신한 지 까먹을 때가 많았어요


임신 12주차 니프티검사 및 12주 정밀초음파
보려고 왔어요
저는 회사랑 집이랑 가까운
CENTRE OF WOMEN'S ULTRASOUND
로 예약했어요
GP 선생님은 한인타운에 계시는 분인데
BURWOOD에 있는 곳을 추천했지만
저는 집이랑 멀어서 이곳으로 갔어요
(회사 동료 추천)

니프티검사 NIPT 는
임신기간 중에 태아의 유전적 이상을
초기에 검출하기 위해 시행되는 검사예요
이 검사는 임신 중에 혈액 샘플을
채취해서 염색체 이상과 일부 유전적 질환을
식별해 내기 때문에 초기의 이상 증후군을 알아낼 수 있어요
예를 들어 다운증후군, 에드워드 증후군,
파타우 증후군 등을 알아낼 수 있어요
그리고 이 검사를 통해 성별도 알 수 있답니다
염색체 중에서 성 결정 염색체인
X염색체와 Y염색체의 비율을 분석하여
태아의 성별을 판단한다고 해요
니프티검사지에서 성별은
XX 또는 XY와 같이 표기되어 나오더라구요
XX- 여자아이
XY-남자아이
니프티검사는 비침습적이고 안전하고
정확도도 높아서 많이들 한다고 하더라고요
다만 비용이 비싸서 임신하고
제일 돈이 많이 드는 검사인 것 같아요
*NIPT 검사는 메디케어에서 커버가
되지 않아서 별도로 돈을 내야해요*
호주에서는 임신 10-12주 사이에 검사를 하는데
대부분은 10주때 많이 한다고 해요
하지만 저는 병원에 또 가는 게 귀찮아서
12주 울트라사운드 초음파 할 때
같이 가서 했습니다

이렇게 피를 뽑은 뒤
샘플을 보내면 10일 정도 안에
검사결과가 나온다고 해요
(저도 10일 안에 전화로 결과를 알려줬어요)


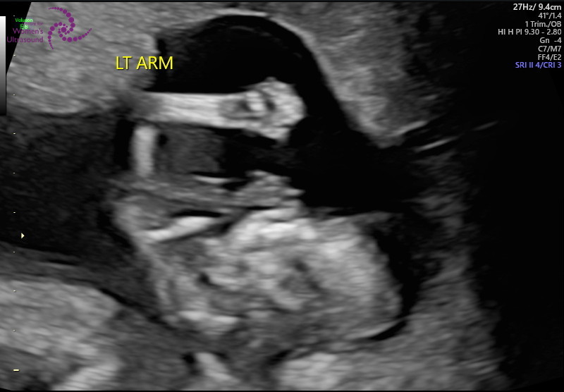
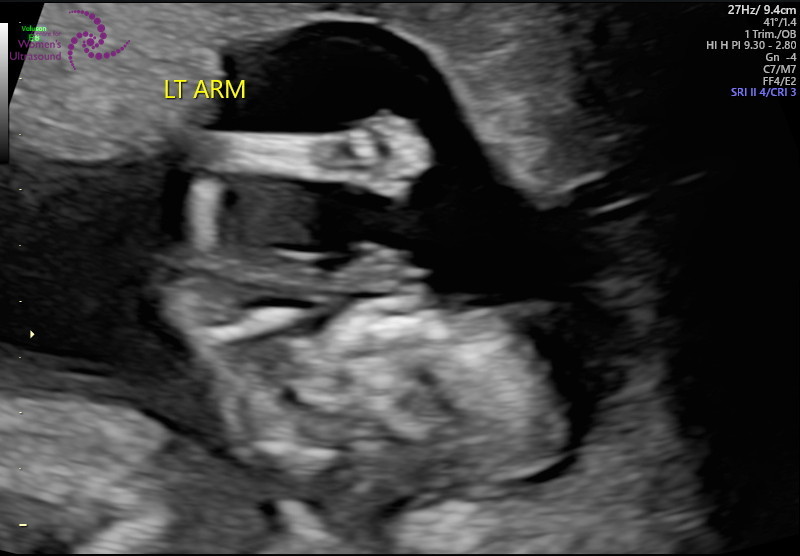
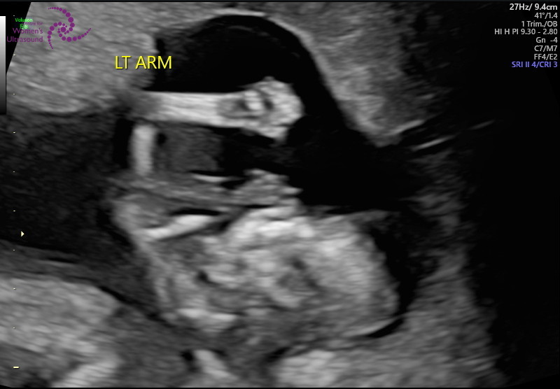
12주 정밀 초음파
젤리곰 탱이를 볼 수 있어요
아기 사이즈 및 기형아 체크
손, 발 길이 등등
자세하게 하나하나 체크하면서
초음파를 보기 때문에 약 40분가량 걸렸어요
양수량이 적당한지
아이가 잘 있는지 등등 체크하는데
화면으로 보는데 너무 신기하더라고요
저렇게 작은데 손, 발이 다 있다니...
울트라사운드라 아이가 초음파 하는데
움직이는 모습도 볼 수 있었어요

이렇게 3d 형태로 아기를 볼 수도 있어서
너무 신기하더라고요
제대로 된 초음파를 처음 해서 신기한 건지
아이가 있다는 게 신기한 건지
남편도 신기해서 계속 사진 찍으며
감탄하기 바쁘더라구요

저희는 7주 초음파 때
심장소리를 안 들려줘서
이번에 처음 듣는 건데
드라마에서 보는 것처럼 눈물이 막 나고
그러진 않더라고요
그래서 저희 탱이 성별은 남아였습니다
예상했던 데로 남자아기예요
저는 두 번째 아기도 니프티검사를 하려고요
미리 성별을 예상할 수 있기도 하고
내 아기가 건강한지 미리 알 수 있으니
한편으론 안심이 돼서 더 임신기간이
편할 수 있었던 것 같아요
'임신 및 출산기록' 카테고리의 다른 글
| 제왕절개 척추마취 부작용과 블러드패치 (1) | 2024.11.21 |
|---|---|
| 인천 W여성병원 제왕절개 입원 준비물 & 제왕절개 흉터 관리 방법 (1) | 2024.10.29 |
| 얼리 임신테스트기 사용시기 및 정확도 - 생리 7일전 테스트 (0) | 2024.05.12 |
| 임산부 필라테스 운동 시기와 효과 + 임산부 운동복 (1) | 2024.02.25 |
| 임신 3주차 얼리임테기로 임신확인 (2) | 2023.08.09 |